
開初仁波且
開初仁波且:由寧瑪派釋迦迥乃祖師轉世之摩訶法王認證,是第三世多杰羌佛和摩訶法王的弟子,亦隨摩訶法王座下十年有餘,深受教益。曾受第三世多杰羌佛「現量大圓滿」、「金剛換體禪」、「攤屍拙火定」三部大法的灌頂,最難得的是三部法全部修成功了。一個時辰之內他成就了現量大圓滿,進入佛土虹光世界,現在晝夜恆時均可進入佛土世界。金剛換體禪修成功後,經核磁共振儀檢測照片,他的頂門頭骨開一深洞入腦髓如雞蛋大,並整個頭骨化現為彌勒菩薩乳胎像。開初仁波且禪定顯赫,源於攤屍拙火定,以紅外線熱感應攝影儀探測拙火升溫,體溫升達華氏197.4度(攝氏92度),已達三段拙火,僅次於人們所知的莫知仁波且的功夫,在當今全世界拙火定禪修中堪稱上乘境界。經七師十證公開考試,現場證實為合格的碩士道師資聖德。摩訶法王對開初仁波且說:「你要有大菩提之心,功夫上學莫知仁波且是比較困難,但至少要趕上祿東贊仁波且,在利益眾生上不要學祿東贊仁波且,要實際為眾生做些什麼。」

紅外線熱感應儀探測開初仁波且拙火高溫

紅外線熱感應儀拍攝的開初仁波且修拙火定時的圍觀人群
這是從實況錄像中截取的照片,是開初仁波且在修攤屍拙火定時用紅外線熱感應攝影儀拍攝的。畫面上熱感應儀探測出三種溫度:一,這一刻開初仁波且身體的最低溫度:華氏77.9 度;二,開初仁波且身體的最高溫度:華氏197.4 度,高溫發出位置在肚臍下密輪處(丹田),鮮紅色部位。三,開初仁波且身體平均溫度:華氏164.1 度。華氏197.4 度,也就是攝氏92 度,這已是快要將水煮開、肉煮熟的溫度!【詳見《千年難見的真佛法現前》DVD實況錄像】
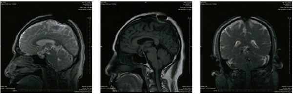
開初仁波且MRI核磁共振腦斷層掃描醫學圖片


這是開初仁波且修金剛換體禪後,在加州醫療中心檢查身體時拍攝的MRI核磁共振檢測照片。可以清晰看見開頂後,頭頂大樂輪門處頭骨、皮肉等大開,開口寬約兩英寸,腦髓開出雞蛋大的凹洞。更令人震撼的是,當開初仁波且拍攝掃描照片時,整塊頭骨突然不見,而呈現出彌勒菩薩乳胎嬰童像,身搭俱袍,手腳呈現,心空大洞,跏趺而坐,在電腦上清晰可見五官面容,眼睛、鼻子、嘴巴。
(本文選自《無上珍寶之福音》)
文章末尾固定信息


评论